Dentisterie esthétique
Les facettes
Fabriquées en porcelaine ou en composite, les facettes sont de minces coquilles qui sont collées à la surface visible des dents. Elles sont généralement employées pour améliorer l'aspect esthétique du sourire, aligner les dents qui présentent un léger chevauchement ou corriger la forme ou la couleur des dents et fermer des espaces entre les dents.
Les facettes en porcelaine offrent un fini de surface exceptionnel. Elles sont plus résistantes aux taches et elles offrent une bien meilleure adaptation au niveau de vos gencives que les facettes en composite.
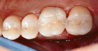
Les composites (plombages blancs)
Utilisé pour reconstituer des dents, remplacer des restaurations brisées et pour restaurer une partie de la dent détruite par une carie de petite ou moyenne dimension, le composite résiste bien à la fracture et à l’usure et peut durer plusieurs années.
De couleur blanche et offert en plusieurs teintes s`agençant à celle des dents, le composite est très esthétique. Il sert à restaurer les dents antérieures et postérieures et corrige des défauts causés par une carie, une fracture ou encore une dent en mauvaise position. Les composites sont principalement composés d’un polymère (plastique) et de particules inertes très dures et très petites.
L’incrustation de porcelaine
Faite sur mesure pour chaque dent, l’incrustation de porcelaine est une restauration fabriquée en laboratoire qui sert à remplacer des obturations conventionnelles en amalgame (plombage gris) ou en composite (plombages blancs).
L’incrustation est indiquée dans les cas où la dent est un peu plus détruite, car elle protège davantage la dent contre le risque de fracture et elle permet de mieux supporter les forces de la mastication. Elle est très esthétique et est collée chimiquement et mécaniquement à la dent. Elle est plus durable que les obturations conventionnelles.
Facette de porcelaine (Avant)
Facette de porcelaine (Après)

Caries dentaires (avant)

Caries dentaires (après)
Avant l'incrustation de porcelaine
Après l'incrustation de porcelaine